Découvrez l’évolution des soins en orthodontie avant/après des patients traités par le Dr Séverin et son équipe. Pour ces patients, nous avons suivi leur traitement en orthodontie avant et après afin de vous présenter notre expertise. Parmi les traitements, découvrez les évolutions en orthodontie Invisalign pour enfants, adolescents et adultes.
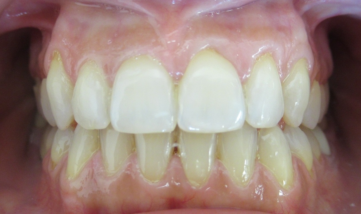
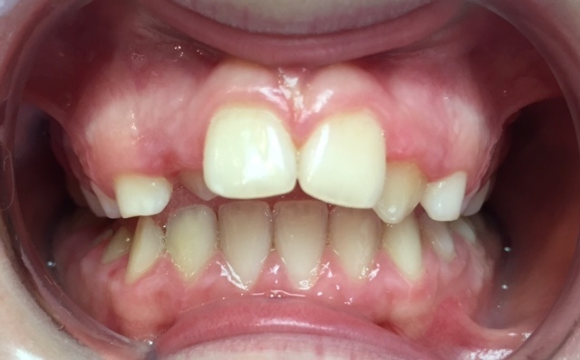
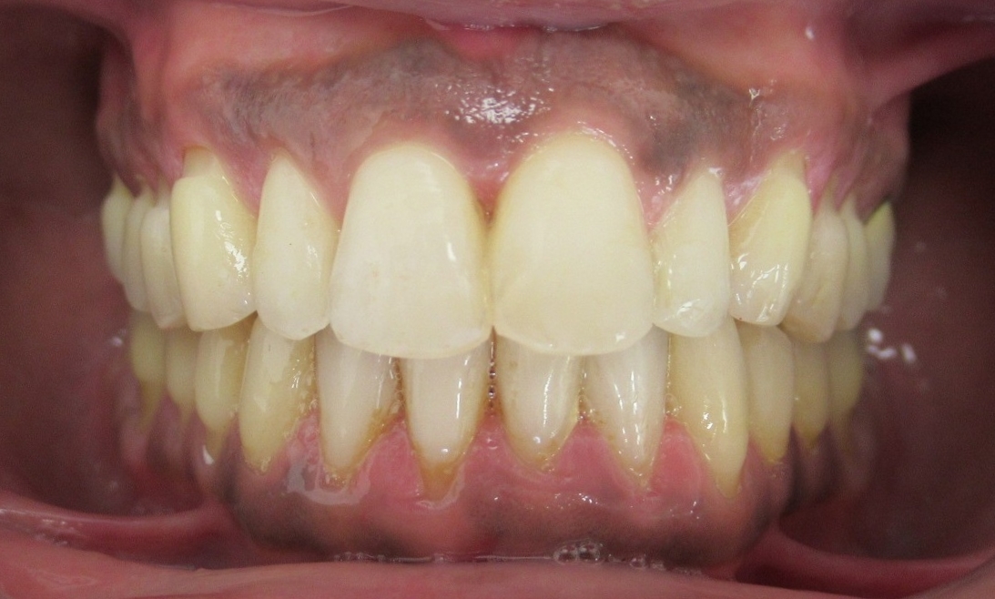
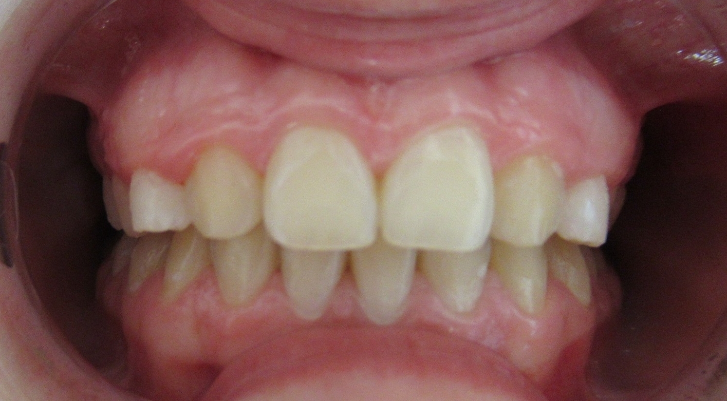
François | Traitement adulte d’une supraclusion par aligneurs
AVANT : Traitement orthodontie adulte d’une supraclusion par aligneurs
APRES : Traitement orthodontie adulte d’une supraclusion par aligneurs
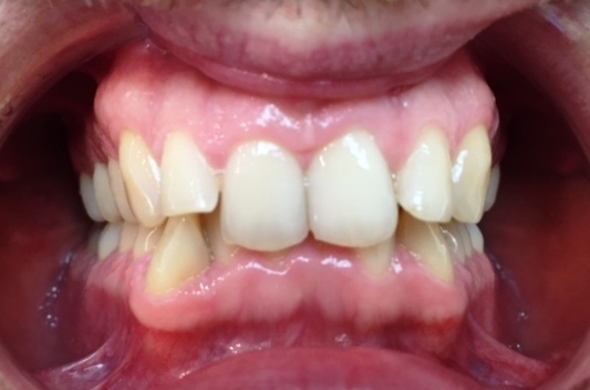
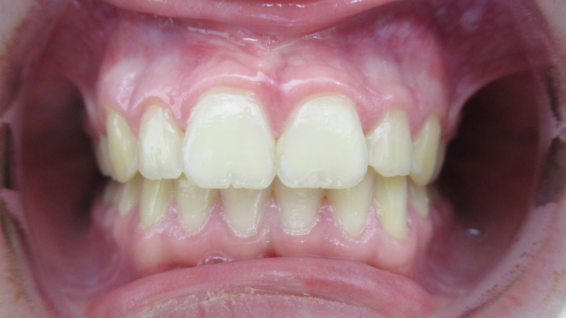
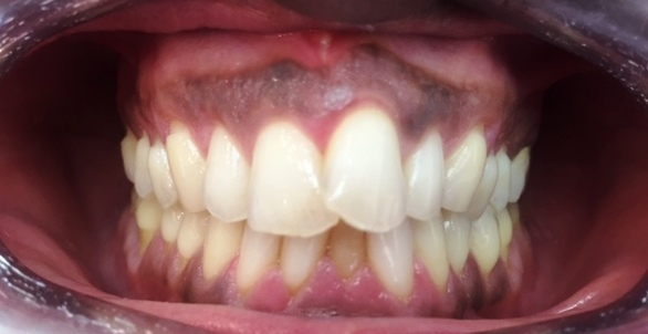
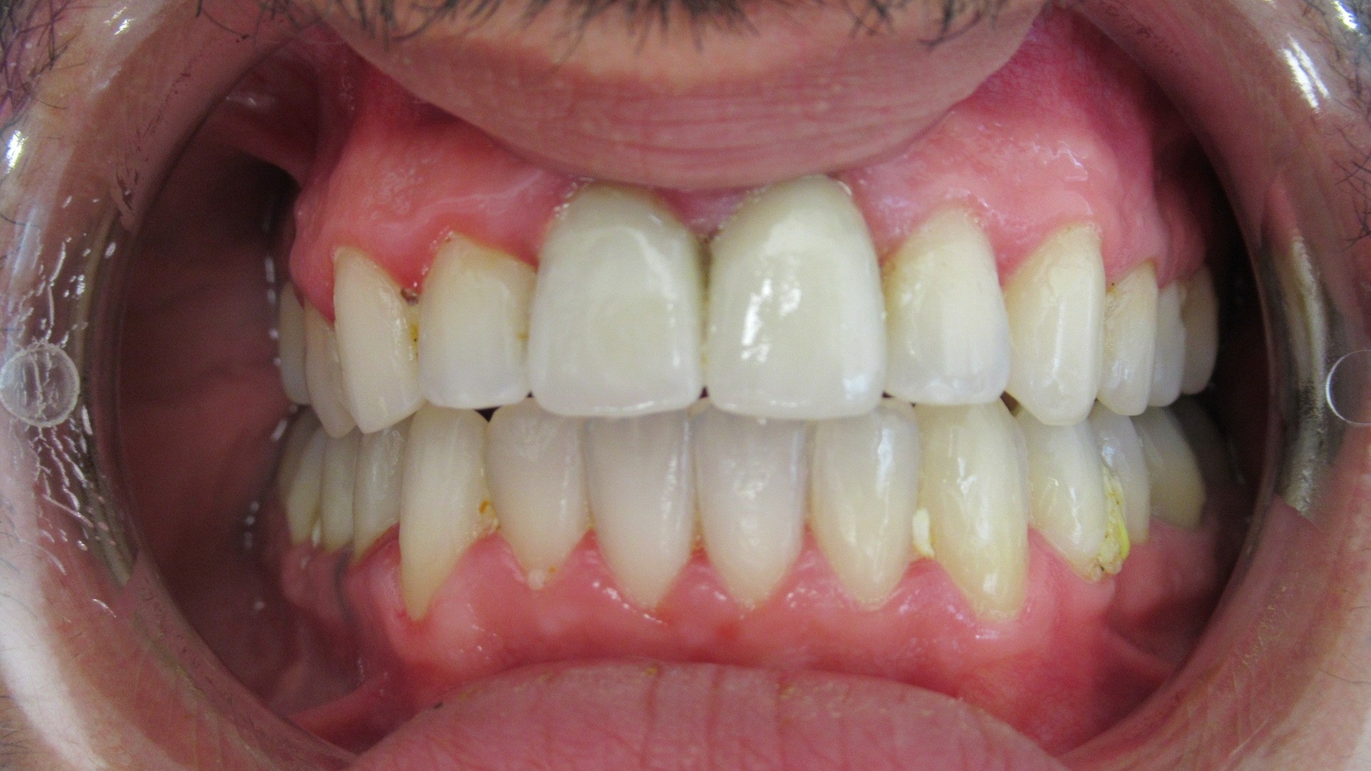
Thierno | Traitement adulte d’expansion par aligneurs
AVANT : Traitement adulte d’expansion par aligneurs
APRES : Traitement adulte d’expansion par aligneurs
Hakim | Traitement ortho-chirurgical avec aligneurs
AVANT : Traitement adulte d’expansion par aligneurs
APRES : Traitement ortho-chirurgical avec aligneurs
Sophie | Traitement adulte par aligneurs
AVANT : Traitement adulte par aligneurs
APRES : Traitement adulte par aligneurs
Paloma | Agénésies des incisives latérales maxillaires
AVANT : Agénésies des incisives latérales maxillaires
APRES : Agénésies des incisives latérales maxillaires
Gabriel | Traitement Teen avec avancée mandibulaire
AVANT : Traitement Teen avec avancée mandibulaire
APRES : Fin Traitement Teen avec avancée mandibulaire

